子ども時代に歯科矯正を受けられなかったから、歯並びはもうあきらめた?いえいえ、近年では歯科矯正を受ける大人が増えているんです。「子どもの歯科矯正と違うの?」「費用や期間はどれくらい?」など、気になる大人の歯科矯正事情を、歯医者さんに直撃してみましょう。
今回は、サンスター千里歯科診療所の歯科医師・宮本先生にお答えいただきました。

Q. なぜ大人の歯科矯正が増えたの?
A. 「子ども時代に矯正の機会がなかった」、「ずっと歯並びをコンプレックスにしてきた」という方が、大人になってから矯正治療を始めているようです。より目立たない矯正装置が普及してきたことも、大人の治療増加の一因かもしれません。
Q. 大人になっても歯科矯正は可能?
A. 歯科矯正に年齢制限はありません。重度の歯周病では、矯正治療が困難なケースもありますが、ムシ歯や歯周病でも治療後に歯科矯正を始めることができます。
Q. 大人と子どもの歯科矯正、どう違うの?
A. 歯の移動は大人も子どもも同じようにおこりますが、子どもに比べると大人では移動に時間がかかることがあります。また、子どものように顎の成長を見込めないため、歯並びをきれいにするため抜歯が必要になることも。
Q. どんな歯科矯正治療があるの?
A. 「ワイヤー矯正」「裏側矯正」「マウスピース矯正」などがあります。治療中の見た目も含め、それぞれにメリット・デメリットがあるので、ご自身にとってどれが最適な治療法かを探してみましょう。

Q. 費用や期間はどのくらい?
A. 矯正治療には保険が適用されず、一般的に60~100万円ほどが必要とされています。治療期間も1~3年と幅があり、歯並びの程度によっても違ってきます。
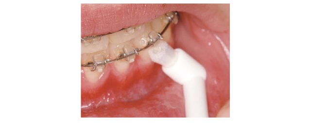
Q. 歯科矯正中に気をつけることは?
A. 装置がつくと、プラーク(歯垢)やステインなど歯の汚れが残りやすくなります。普段より時間をかけて丁寧にハミガキしましょう。ワイヤー周囲を集中ケアできるブラシを使うとみがきにくい部分もケアしやすいですよ。

歯科矯正は気づいた時が始めどき。歯並びに悩むなら、まずは歯医者さんに相談してみましょう!
BUTLER(バトラー)は、1923年に歯科医療の現場で生まれてからずっと、ブラッシング、フロッシング、イリゲーションを組み合わせたプラーク除去に関する独自の考え方と高品質のツールを長年にわたって提供しています。